Skip to content

Θεραπείες εφήβων (10-17 ετών)

Ορθοδοντικές Θεραπείες Πρίν & Μετά - Ορθοδοντικός Δρ. Ζαρμπή
Ορθοδοντικές Θεραπείες Πρίν & Μετά - Ορθοδοντικός Δρ. Ζαρμπή

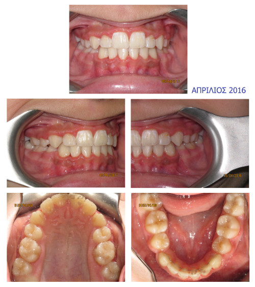
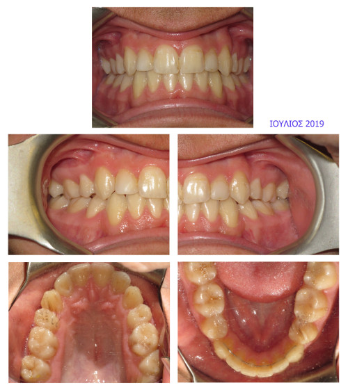
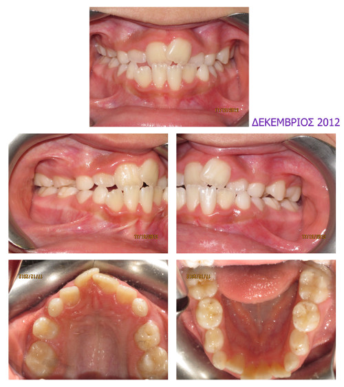
Συνωστισμός και ψευδοπρογναθισμός

Αρχικό Στάδιο

Τελικό Στάδιο

Επανέλεγχος 3 χρόνια μετά

Back To Top