Συνεργασία με άλλες ειδικότητες

Ενήλικες ασθενείς με γενικευμένα οδοντιατρικά προβλήματα είναι δυνατόν να καταφύγουν σε ορθοδοντική θεραπεία εκτεταμένη ή και περιορισμένης έκτασης και διάρκειας, με στόχο την υποστήριξη θεραπειών άλλων ειδικοτήτων. Κατά αναλογία, μια ορθοδοντική θεραπεία μπορεί να χρειάζεται υποστήριξη από άλλες οδοντιατρικές ή ιατρικές ειδικότητες.
Οδοντιατρική


Η ορθοδοντική θεραπεία προϋποθέτει στενή συνεργασία με τον οδοντίατρο, ο οποίος καλύπτει τις ανάγκες του στόματος σε όλο το φάσμα της οδοντιατρικής. Ο ασθενής, πριν αρχίσει η ορθοδοντική θεραπεία, πρέπει να ελεγχθεί από τον οδοντίατρο του για τερηδόνα , ουλίτιδα ή εξαγωγές που ορίζονται γραπτά από τον ορθοδοντικό και απαιτούνται στα πλαίσια της ορθοδοντικής θεραπείας, κτλ. Κατά τη διάρκεια της ορθοδοντικής, απαιτείται περιοδικός έλεγχος καθαρισμού του στόματος. Η εξ αρχής ενημέρωση του οδοντιάτρου για το σχέδιο της ορθοδοντικής θεραπείας είναι απαραίτητη έτσι ώστε να αποφευχθούν λάθη από κακή συνεννόηση (πχ σφραγίσματα ή θεραπείες δοντιών που πρόκειται να εξαχθούν στα πλαίσια της ορθοδοντικής).
Παιδοδοντία

Η ιδιαίτερη προσέγγιση από τον παιδοδοντίατρο έχει ως αποτέλεσμα να εξαλείφεται ο φόβος των μικρών ασθενών. Η συνεργασία ορθοδοντικού και παιδοδοντιάτρου είναι διαρκής ως το τέλος της θεραπείας.
Ο παιδοδοντίατρος κάνει τις απαραίτητες φθοριώσεις, προληπτικές εμφράξεις, ενδοδοντικές θεραπείες στα παιδικά δόντια εφόσον είναι απαραίτητες, εξαγωγές νεογιλών ή και μόνιμων δοντιών κατά τις υποδείξεις του ορθοδοντικού και τις ανάγκες του σχεδίου της ορθοδοντικής θεραπείας. Συμπερασματικά ο παιδοδοντίατρος διασφαλίζει την υγεία στο παιδικό στόμα.
Προσθετική


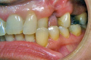
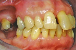
Ασθενείς που επί πολλά χρόνια δεν έχουν αντικαταστήσει χαμένα δόντια, παρουσιάζουν συχνότατα μετακίνηση των άλλων δοντιών δίπλα από τα κενά, με αποτέλεσμα να μην είναι δυνατή η πραγματοποίηση οποιασδήποτε προσθετικής εργασίας (γέφυρας, μερικής οδοντοστοιχίας, εμφυτεύματος).
Η προ-προσθετική ορθοδοντική διευθετεί τα δόντια κατάλληλα ώστε αυτά να έρθουν στις ορθές θέσεις τους, δημιουργώντας έτσι τις προϋποθέσεις για πραγματοποίηση μιας σωστής προσθετικής εργασίας.
Περιοδοντολογία


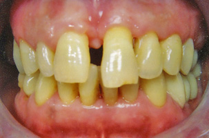
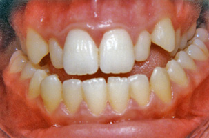
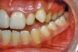
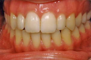
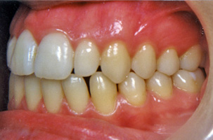
Η περιοδοντική νόσος μετακινεί τα δόντια καθώς το κόκαλο που τα υποστηρίζει υποχωρεί σταδιακά. Έτσι τα δόντια εμφανίζουν διαστήματα μεταξύ τους ή/και περιστρέφονται. Η ορθοδοντική θεραπεία επαναφέρει τα δόντια στις ορθές τους θέσεις και τέλος τα ακινητοποιεί ώστε να διασφαλιστεί η μακροβιότητά τους στο στόμα.
Γναθολογία
Παραμελημένα ορθοδοντικά προβλήματα συχνά οδηγούν εφήβους και ενήλικες σε προβλήματα της κροταφογναθικής διάρθρωσης (περιοχή μπροστά από τα αυτιά όπου ενώνεται η κάτω γνάθος με το κεφάλι). Συμπτώματα αυτών είναι έντονοι πονοκέφαλοι μεγάλης διάρκειας που δεν υποχωρούν εύκολα, θόρυβοι τύπου “κλικ” καθώς ανοιγοκλείνει το στομα, κτλ. Η διευθέτηση του ορθοδοντικού προβλήματος σε συνεργασία με την θεραπεία του γναθολόγου απαλλάσσει τους ασθενείς από την αιτία άρα και από τα συμπτώματα.
Ωτορυνολαρυγγολογία (ΩΡΛ):
Ωτορυνολαρυγγολογικά προβλήματα είναι συχνά μια από τις αιτίες διαφόρων ορθοδοντικών-σκελετικών ανωμαλιών. Τέτοια είναι οι υπερμεγέθεις αμυγδαλές, οι αδενοειδείς εκβλαστήσεις (κρεατάκια), το αποκλίνον ρινικό διάφραγμα, οι χρόνιες ρινίτιδες, αλλεργίες κτλ. Σε αυτές τις περιπτώσεις απαιτείται συνεργασία με τον ΩΡΛ προκειμένου να αντιμετωπιστούν οι αιτίες και να υποστηριχτεί το ορθοδοντικό σχέδιο θεραπείας προς όφελος του ασθενούς.
Γναθοχειρουργική

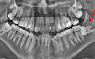
Στα πλαίσια της ορθοδοντικής θεραπείας συχνά απαιτείται συνεργασία με τον γναθοχειρουργό. Τέτοιες περιπτώσεις είναι η εξαγωγή δοντιών με αυξημένο βαθμό δυσκολίας, αφαίρεση εγκλείστων φρονιμιτών, αντιμετώπιση κύστεων ή/και αποκάλυψη δοντιών που για κάποιους λόγους είναι έγκλειστα μέσα στο κόκαλο της γνάθου.
Η συνεργασία ορθοδοντικού και γναθοχειρουργού είναι απαραίτητη στην περίπτωση ενηλίκων ασθενών με έντονη σκελετική ανωμαλία. Ο ορθοδοντικός θα διευθετήσει την θέση των δοντιών στην κάθε γνάθο (προχειρουργική ορθοδοντική θεραπεία) και όταν αυτό ολοκληρωθεί ο γναθοχειρουργός με την κατάλληλα σχεδιασμένη επέμβαση (γναθοχειρουργική επέμβαση) θα διευθετήσει το μέγεθος και την σχέση των γνάθων μεταξύ τους. Τέλος ο ορθοδοντικός θα προχωρήσει (μεταχειρουργική ορθοδοντική) στις τελικές μικρομετακινήσεις ακριβείας των δοντιών. Αυτό το μεικτό σχήμα θεραπείας είναι απαραίτητο για ένα καλό και σταθερό αποτέλεσμα.
Λογοθεραπεία
Κάποια ορθοδοντικά προβλήματα είναι δυνατόν λόγω της κακής θέσης των δοντιών να έχουν επιπτώσεις στον τρόπο ομιλίας. Έτσι ορισμένα σύμφωνα δεν εκφέρονται καλά και υπάρχει ανάγκη συνεργασίας με τους λογοθεραπευτές. Μικροί ασθενείς με σχιστίες των γνάθων παρουσιάζουν ιδιαίτερα ένρινη ομιλία. Εδώ η παρουσία του λογοθεραπευτή είναι εντελώς απαραίτητη από πολύ μικρή ηλικία.
Πλαστική Χειρουργική


Συχνά οι δυσαρμονίες του προσώπου επηρεάζονται όχι μόνο από τα σκελετικά ορθοδοντικά προβλήματα αλλά και από προβλήματα άλλων περιοχών του προσώπου (μύτη, αυτιά, πηγούνι). Η συμβολή του πλαστικού χειρουργού με την κατάλληλη πλαστική επέμβαση (πχ ρινοπλαστικη, ωτοπλαστική, πωγωνοπλαστικη) είναι ιδιαίτερα σημαντική καθώς υποστηρίζει κι ενισχύει την εργασία του ορθοδοντικού προς όφελος της μορφής του προσώπου συνολικά.
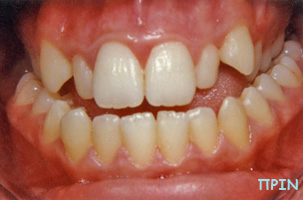
ΟΡΘΟΓΝΑΘΙΚΗ ΧΕΙΡΟΥΡΓΙΚΗ
Προβλήματα λόγω της κακής θέσης των γνάθων μεταξύ τους μπορούν με την κατάλληλη ορθοδοντική μετακίνηση των δοντιών να καμουφλαριστούν και να επιτευχτεί μια αποδεκτή σύγκλειση παρά την υπάρχουσα σκελετική ανωμαλία. Παρόλα αυτά, όταν οι διαφορές μεγέθους ή/και οι σχετικές σχέσεις των γνάθων μεταξύ τους είναι έντονες, δεν είναι δυνατή η διόρθωση αποκλειστικά με την ορθοδοντική θεραπεία. Σ’ αυτες τις περιπτώσεις η ορθογναθική χειρουργική είναι απαραίτητη παράλληλα με την ορθοδοντική θεραπεία. Σε μεικτά προβλήματα όπου εμπλέκονται τόσο τα δόντια όσο και ο σκελετός, δεν είναι δυνατόν η ορθογναθική χειρουργική να αντικαταστήσει την ορθοδοντική, αλλά ούτε και η ορθοδοντική μόνη της μπορεί να διευθετήσει σωστά το συνολικό πρόβλημα. Για την αντιμετώπιση μεικτών προβλημάτων υπάρχει συγκεκριμένο πρωτόκολλο συνεργασίας. Ο ορθοδοντικός και ο γναθοχειρουργός μετά από κοινό έλεγχο του ασθενούς παίρνουν τις διαγνωστικές καταγραφές (εκμαγεία, ακτινογραφίες, φωτογραφίες) και αφού μελετήσουν το πρόβλημα, καταστρώνουν το σχέδιο θεραπείας και ορίζουν τις αρμοδιότητες των δυο ειδικοτήτων. Η θεραπεία κατά κανόνα έχει τρεις φάσεις:
1. Προχειρουργική ορθοδοντική:
Ο ορθοδοντικός καλείται να φέρει τα δόντια της κάθε γνάθου σε θέσεις τέτοιες ώστε μετά το χειρουργείο που θα ακολουθήσει, να επιτευχτεί μια ισορροπημένη σύγκλειση. Η διάρκεια της προχειρουργικής ορθοδοντικής θεραπείας είναι δυνατόν να ποικίλλει κατά περίπτωση από 12 έως 24 μήνες.




2. Χειρουργική επέμβαση:
Όταν ο ορθοδοντικός ολοκληρώσει την πρώτη φάση προγραμματίζεται η προμελετημένη χειρουργική επέμβαση. Αυτή γίνεται με γενική αναισθησία (νάρκωση), οπωσδήποτε σε νοσοκομείο και συχνά απαιτεί ολιγοήμερη παραμονή σε αυτό. Κατά την επέμβαση διευθετείται το μέγεθος και η θέση της κάθε γνάθου ως προς το κρανίο καθώς και η σχετική θέση των γνάθων μεταξύ τους. Ακόλουθη ορισμένου βαθμού και τύπου ακινητοποίηση για διάστημα περίπου είκοσι (20) ημερών κατά την υπόδειξη του γναθοχειρουργού.




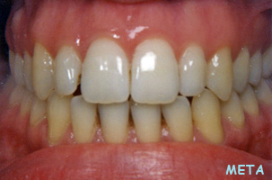
3. Μεταχειρουργική ορθοδοντική θεραπεία:
Αφού τελειώσει η περίοδος της ακινητοποίησης, ο ασθενής επιστρέφει στον ορθοδοντικό ο οποίος πλέον ασχολείται με την μεταχειρουργική ορθοδοντική διευθέτηση των δοντιών. Καθώς έχει ήδη αποκατασταθεί η τελική καλή σχέση των γνάθων μεταξύ τους, είναι πλέον δυνατές και κάποιες μικρομετακίνησεις ακριβείας των δοντιών προκειμένου να επιτευχθεί μια σταθερή και λειτουργική σύγκλειση. Η διάρκεια της μεταχειρουργικής ορθοδοντικής θεραπείας ποικίλλει από 4-12 μήνες.








Οι μεικτές αυτές θεραπείες είναι εξαιρετικά εντυπωσιακές δεδομένου ότι ευνοούν όχι μόνο το στόμα και το χαμόγελο αλλά και το πρόσωπο συνολικά. Οι ασθενείς διανύουν ένα μακρύ δρόμο αλλά το τελικό αποτέλεσμα επηρεάζει τόσο θετικά την ζωή τους που αποζημιώνονται.
