Skip to content

Ορθοδοντικοί Μηχανισμοί

Υπάρχουν διάφορα είδη ορθοδοντικών μηχανισμών. Η ορθοδοντικός αποφασίζει ποιοι μηχανισμοί είναι κατάλληλοι για κάθε ασθενή με γνώμονα την φύση του προβλήματος που υπάρχει.

Κινητοί μηχανισμοί - Ορθοδοντικός Δρ. Ζαρμπή
Κινητοί μηχανισμοί - Ορθοδοντικός Δρ. Ζαρμπή

Εάν το πρόβλημα του ασθενούς είναι σκελετικό και αφορά το μέγεθος, το σχήμα και τη θέση των γνάθων, αντιμετωπίζεται καλύτερα με τους κινητούς ορθοδοντικούς μηχανισμούς οι οποίοι μπορούν να επηρεάσουν τις γνάθους στην ανάπτυξη τους προς την επιθυμητή κατεύθυνση.

Ορθοδοντικοί Μηχανισμοί - Ορθοδοντικός Δρ. Ζαρμπή
Φυσιολογικό πρόσωπο - Ορθοδοντικός Δρ. Ζαρμπή

Εάν αυτό είναι καθαρά οδοντικό πρόβλημα αντιμετωπίζεται καλύτερα με τους ακίνητους ορθοδοντικούς μηχανισμούς οι οποίοι με δυνάμεις ακριβείας μπορούν να οδηγήσουν τα δόντια στις κατάλληλες θέσεις.

Οι παραπάνω τυποι μηχανισμών (κινητοί και ακίνητοι) είναι θεραπευτικοί, ενώ μετά το τέλος της ενεργούς θεραπείας οι ασθενείς χρησιμοποιούν τους συγκρατητικούς μηχανισμούς σε διάρκεια που κατά περίπτωση θα υποδείξει ο ορθοδοντικός. Η συγκράτηση του αποτελέσματος είναι η τελευταία και σοβαρώτατη φάση της θεραπείας και στόχο έχει τη διατήρηση δοντιών και γνάθων στις νέες θέσεις και σχέσεις αντίστοιχα. Εάν δε γίνει σωστή χρήση των συγκρατητικών μηχανισμών τα δόντια έχουν την τάση να μεταναστεύσουν στις παλιές τους θέσεις και το ορθοδοντικό αποτέλεσμα χάνεται εν μέρη.

Είναι εμφανές ότι δεν μπορεί κανείς να πει ποιοί μηχανισμοί (κινητοί ή ακίνητοι) είναι οι καλύτεροι δεδομένου ότι τα προβλήματα που αντιμετωπίζει εξαιρετικά ο ένας τύπος δεν μπορεί να τα αντιμετωπίσει ο άλλος και αντιστρόφως.

Επομένως μόνο ο/η ορθοδοντικός είναι σε θέση να προσδιορίσει ποίοι μηχανισμοί είναι οι καταλληλότεροι για το ειδικό πρόβλημα κάθε ασθενούς και να συστήσει τη χρήση τους.

1. ΚΙΝΗΤΟΙ ΜΗΧΑΝΙΣΜΟΙ

Κινητοί μηχανισμοί - Ορθοδοντικός Δρ. Ζαρμπή
Κινητοί μηχανισμοί - Ορθοδοντικός Δρ. Ζαρμπή

Πρόκειται για μηχανισμούς (μασελάκια) που ο ασθενής μπορεί να βάλει και να βγάλει μόνος του. Απευθύνονται κυρίως σε προβλήματα που αφορούν στο σχήμα, το μέγεθος και τη θέση των γνάθων μεταξύ τους, έχουν ευρεία χρήση σε παιδιά κι εφήβους όπου η σκελετική αύξηση είναι σε εξέλιξη κι επιφέρουν με μεγάλη επιτυχία τις απαιτούμενες αλλαγές. Καθώς μπορούν να αφαιρεθούν από το στόμα, διευκολύνουν τη στοματική υγιεινή. Χρησιμοποιούνται σύμφωνα με τις οδηγίες της ορθοδοντικού σε 24ωρη βάση ή μόνο τη νύχτα στο ύπνο.

Κινητοί μηχανισμοί - Ορθοδοντικός Δρ. Ζαρμπή
Κινητοί μηχανισμοί - Ορθοδοντικός Δρ. Ζαρμπή

Κινητοί μηχανισμοί είναι επίσης οι συγκρατητικοί μηχανισμοί που χρησιμοποιούνται στο τέλος της ενεργούς ορθοδοντικής θεραπείας για τη συγκράτηση του ορθοδοντικού αποτελέσματος.

Στη κατηγορία των κινητών μηχανισμών ανήκουν και οι λειτουργικοί μηχανισμοί. Η χρήση τους προϋποθέτει ύπαρξη σκελετικής αύξησης επομένως ενδείκνυνται μόνο για παιδιά κι εφήβους. Πρόκειται για συσκευές που με ορθοπεδικές δυνάμεις διορθώνουν διάφορα προβλήματα ανάπτυξης των γνάθων. Εδώ ανήκουν το εξωστοματικό τόξο, ο ενεργοποιητής, η προσωπική μάσκα κτλ.

Η συνεργασία των ασθενών είναι εντελώς απαραίτητη καθώς χωρίς αυτήν μια μεγάλη ομάδα ορθοδοντικών προβλημάτων είναι αδύνατον να διορθωθεί.

2. ΑΚΙΝΗΤΟΙ ΜΗΧΑΝΙΣΜΟΙ

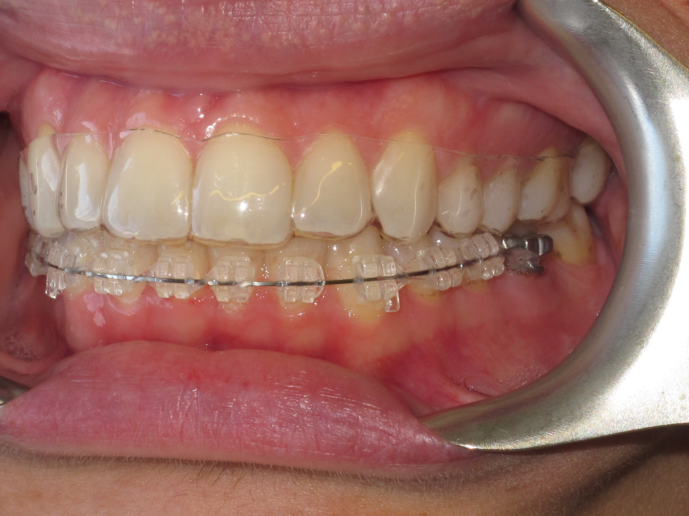
Ακίνητοι Μηχανισμοί - Ορθοδοντικός Δρ. Ζαρμπή

Πρόκειται για μηχανισμούς που συγκολλούνται στα δόντια και δε μπορούν να αφαιρεθούν από τον ασθενή. Απευθύνονται σε μετακινήσεις ακριβείας μεμονωμένων δοντιών κατά μήκος του άνω ή κάτω οδοντικού τόξου, ή οδοντικών ομάδων μεταξύ τους.
Αποτελούνται από πολλά διαφορετικά τμήματα που λειτουργούν ως ένα σύστημα το οποίο με περιοδικές ρυθμίσεις επιτυγχάνει τις επιθυμητές οδοντικές μετακινήσεις. Ακολουθεί ανάλυση των τμημάτων των ακίνητων μηχανισμών:

ΔΑΚΤΥΛΙΟΙ: Οι δακτύλιοι είναι μεταλλικά δακτυλίδια που μπαίνουν στα πίσω δόντια. Οι δακτύλιοι συγκολλούνται στο δόντι με τη βοήθεια μιας ειδικής κόλλας που περιέχει φθόριο ώστε να αποφευχθεί τυχούσα απασβεστίωση κατά τη διάρκεια της θεραπείας. Η συγκόλληση αυτή έχει μεγάλη αντοχή κι αντέχει στις δυνάμεις της μάσησης.

ΑΓΚΙΣΤΡΑ: Εκείνα τα κομμάτια του μηχανισμού που συγκρατούν το τόξο σε κάθε δόντι. Το τόξο μπαίνει σε μια εσοχή του άγκιστρου. Τα άγκιστρα κολλούνται απευθείας πάνω στα δόντια. Τα άγκιστρα είναι μεταλλικά ή κεραμικά. Καθώς  συγκολλούνται πάνω στην αδαμαντίνη τα άγκιστρα είναι πιο ευαίσθητα στο να ξεκολλήσουν από ό, τι οι δακτύλιοι.

ΤΟΞΟ (ΤΟΞΑ): Τα βασικά σύρματα ή τόξα παίρνουν ειδικό σχήμα ώστε να ταιριάζουν γύρω από τα δόντια και να μπαίνουν στις ειδικές εσοχές στα άγκιστρα. Τα τόξα συγκρατούνται στη θέση τους από μια σειρά μικρών λαστιχένιων δακτυλιδιών (λαστιχάκια) που κρατούν το τόξο μέσα στα άγκιστρα. Τα δόντια μετακινούνται λόγω των δυνάμεων που ασκούνται πάνω τους από τα τόξα. Οι δυνάμεις αυτές πάλι δημιουργούνται από τον ορθοδοντικό μέσω των καμπυλών και των γωνιών που έχει κάνει εκείνος στο τόξο έτσι ωστέ αυτό να οδηγεί την μετακίνηση των δοντιών. ΟΠΟΙΑΔΗΠΟΤΕ ΕΠΙΠΡΟΣΘΕΤΗ  ΚΑΜΠΥΛΗ Ή ΓΩΝΙΑ ΣΤΟ ΤΟΞΟ ΠΟΥ ΠΡΟΚΛΗΘΗΚΕ ΑΠΟ ΣΚΛΗΡΗ ΤΡΟΦΗ Ή ΧΤΥΠΗΜΑ ΜΠΟΡΕΙ ΝΑ ΜΕΤΑΚΙΝΗΣΕΙ ΤΑ ΔΟΝΤΙΑ ΣΕ ΜΗ ΕΠΙΘΥΜΗΤΗ ΘΕΣΗ.

ΠΕΡΙΔΕΣΕΙΣ: Λεπτά λαστιχάκια ή συρματάκια που κρατούν το τόξο στη θέση του μέσα στις εσοχές των αγκίστρων.

HOOKS: Μικρές προεξοχές στα άγκιστρα που χρησιμοποιούνται για να τοποθετούμε ελαστικούς δακτυλίους.

ΕΛΑΤΗΡΙΟ: Το ελατήριο τοποθετείται πάνω στο τόξο, ανάμεσα από 2 άγκιστρα κι ασκεί ειδικές δυνάμεις στα δόντια.

ΑΛΥΣΙΔΕΣ: Ελαστικές αλυσίδες που μετακινούν τα δόντια κατά μήκος του τόξου.

ΕΛΑΣΤΙΚΑ: Ελαστικά δακτυλίδια που τοποθετούνται από τον ασθενή μεταξύ του άνω και κάτω τόξου κατά την υπόδειξη του ορθοδοντικού.

Τα κεραμικά άγκιστρα - Ορθοδοντικός Δρ. Ζαρμπή

Τα κεραμικά άγκιστρα ενδείκνυνται σε ασθενείς με αυξημένες αισθητικές ανάγκες. Το χρώμα τους δεν αλλοιώνεται εφόσον τηρούνται οι κανόνες στοματικής υγιεινής εκτός εάν ο ασθενής κάνει υπερβολική χρήση έγχρωμων υγρών (καφές, τσάι, coca-cola) οπότε είναι δυνατόν το χρώμα να αλλάξει ελαφρώς.

Αυτά είναι πιο εύθραυστα από τα μεταλλικά η δε δαπάνη της θεραπείας είναι αυξημένη.

3. ΣΥΓΚΡΑΤΗΤΙΚΟΙ ΜΗΧΑΝΙΣΜΟΙ

Η συγκράτηση είναι η τελευταία και σοβαρότερη φάση της ορθοδοντικής θεραπειας. Στόχο έχει την  διατήρηση των δοντιών και των γνάθων στη νέα θέση. Οι συγκρατητικοί μηχανισμοί τοποθετούνται μετά την αφαίρεση των ακινήτων μηχανισμών. Χωρίς τους συγκρατητικούς μηχανισμούς τα δόντια μπορεί να μεταναστεύσουν πίσω στις παλιές θέσεις τους και το ορθοδοντικό αποτέλεσμα  να χαθεί εν μέρει. Οι συγκρατητικοί μηχανισμοί χρησιμοποιούνται με τη συχνότητα και την διάρκεια που θα υποδείξει κατά περίπτωση η ορθοδοντικός.

Τύποι συγκρατητικών μηχανισμών:

Κινητό μηχάνημα (μασελάκι) αφαιρούμενο - Ορθοδοντικός Δρ. Ζαρμπή
Κινητό μηχάνημα (μασελάκι) αφαιρούμενο:
Αποτελείται από ένα ακρυλικό σώμα και συγκρατητικά σύρματα, διατηρώντας έτσι τα δόντια του στις νέες τους θέσεις.
Νάρθηκας διάφανος αφαιρούμενος:
Αποτελείται από διάφανο πλαστικό. Είναι εύχρηστο και σχεδόν αόρατο.
Μόνιμος μεταλλικός μηχανισμός - Ορθοδοντικός Δρ. Ζαρμπή

Μόνιμος μεταλλικός μηχανισμός:
Πρόκειται για ένα σύρμα κατασκευασμένο έτσι ώστε να εφάπτεται στην εσωτερική επιφάνεια των δοντιών. Είναι πρακτικά αόρατος και εξασφαλίζει 24ωρη δράση.

Οδηγίες χρήσης συγκρατητικών μηχανισμών

  • Οι κινητοί συγκρατητικοί μηχανισμοί πρέπει να φοριούνται ακριβώς όπως υποδείξει ο ορθοδοντικός ώστε να επιτρέψουν χρονικά στα οστά και τους μαλακούς ιστούς (ούλα) γύρω από τα δόντια να τα αγκαλιάσουν σταθερά στις νέες τους θέσεις.
  • Αφαιρείτε τους συγκρατητικούς μηχανισμούς μόνο κατά τη διάρκεια του φαγητού και όσο βουρτσίζετε τα δόντια σας. Όταν δε χρησιμοποιούνται θα πρέπει να μπαίνουν καθαροί στο κουτάκι τους.
  • Θα πρέπει να καθαρίζονται 2 φορές την ημέρα με οδοντόβουρτσα και οδοντόκρεμα.
  • Παρακαλούμε να προσέχετε πολύ τον συγκρατητικό μηχανισμό σας. Αν χαθεί όχι μονό θα οδηγηθείτε σε έξτρα έξοδα, αλλά μπορεί να διακινδυνέψει το αποτέλεσμα της θεραπείας σας.
Back To Top