Προβλήματα που θεραπεύει ο ορθοδοντικός


Υπάρχουν 3 βασικοί τύποι προβλημάτων που αντιμετωπίζει ο ορθοδοντικός:
- Ο πρώτος τύπος είναι τα αμιγώς ορθοδοντικά προβλήματα όπου τα δόντια για διάφορες αιτίες δεν έχουν σωστές θέσεις στην οστική τους βάση. Τα προβλήματα αυτά όταν το στόμα είναι κλειστό δεν είναι εμφανή και δεν επηρεάζουν τη μορφή του προσώπου.
- Ο δεύτερος τύπος είναι τα σκελετικά προβλήματα όπου οι γνάθοι δεν έχουν αυξηθεί αρμονικά μεταξύ τους στα τρία επίπεδα (εγκάρσιο, οριζόντιο, κατακόρυφο). Τα δόντια μπορεί να είναι ομαλά ή ανώμαλα διευθετημένα. Τα προβλήματα αυτά έχουν επίπτωση στο χαμόγελο και στην μορφή του προσώπου κατά μέτωπο (enface) και πλαγίως (profile). Στόχος της ορθοδοντικής θεραπείας είναι τόσο η διόρθωση της θέσης των δοντιών όσο και η αρμονία του προσώπου και του χαμόγελου.
- Ο τρίτος τύπος είναι συνδυασμός πρώτου και δεύτερου τύπου κι επομένως ο ασθενής παρουσιάζει οδοντικά και σκελετικά προβλήματα τα οποία έχουν επίπτωση τόσο στο στόμα και το χαμόγελο όσο και στην συνολική εμφάνιση του προσώπου.
Ελπίζουμε ότι με τις παραπάνω σύντομες πληροφορίες θα παρακολουθήσετε με πιο ευαισθητοποιημένο μάτι τα περιστατικά που ακολουθούν στην ιστοσελίδα, θα εξοικειωθείτε με το αντικείμενο της ορθοδοντικής, θα αντιληφθείτε τις δυνατότητες της ειδικότητας και θα αναγνωρίσετε ίσως το δικό σας πρόβλημα ή του παιδιού σας.
Ο πρώτος τύπος – οδοντικά προβλήματα

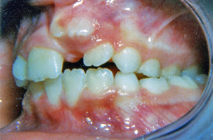
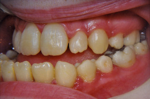
Συνωστισμένα δόντια:
Συνωστισμός συμβαίνει όταν τα δόντια δεν έχουν αρκετό χώρο για να ανατείλουν. Ο συνωστισμός μπορεί πολλές φορές να διορθωθεί με διεύρυνση της γνάθου και να αποφθεχθούν έτσι εξαγωγές μονίμων δοντιών. Η καθυστέρηση έναρξης της ορθοδοντικής θεραπείας συχνά στερεί τον ασθενή από αυτή τη δυνατότητα εύρεσης χώρου και οδηγεί αναπόφευκτα σε θεραπεία με εξαγωγές μονίμων δοντιών.

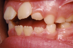
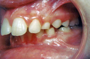
Δόντια με διαστήματα:
Διάκενα μεταξύ των δοντιών μπορεί να προκαλούνται από ελλείποντα δόντια, δόντια με μη φυσιολογική μορφολογία ή δόντια σε λάθος θέση λόγω πίεσης από την γλώσσα ή το κάτω χείλος

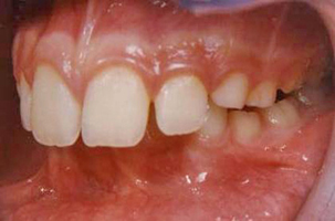
Δόντια σε ετεροτοπία:
Δόντια που φυτρώνουν σε λάθος θέση

Δόντια χωρίς επαφή μεταξύ τους:
Ανοιχτή δήξη όπου τα άνω και κάτω πρόσθια δόντια δεν έχουν επαφές, με αποτέλεσμα τα οπίσθια δόντια να υπόκεινται σε αυξημένη φθορά δεδομένου ότι φορτίζονται δυσανάλογα από το σύνολο των μασητικών δυνάμεων.

Υπερσύγκλειση:
Τα άνω πρόσθια δόντια υπερκαλύπτουν σε κατακόρυφη έννοια τα κάτω πρόσθια δόντια τα οποία δεν φαίνονται καθόλου στο στόμα, ή τα κάτω πρόσθια δόντια υπερανατέλουν τόσο ώστε αντί να στηρίζονται στα επάνω δόντια, στηρίζονται στον ουρανίσκο.

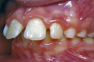
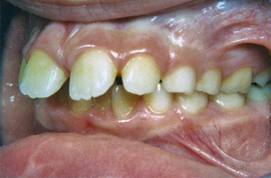
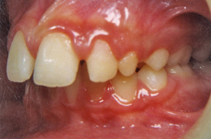
Προεξέχοντα άνω δόντια:
Η εμφάνιση και η λειτουργία των δοντιών επηρεάζονται πολύ από αυτό το συγκλεισιακό πρόβλημα. Χαρακτηρίζεται από το ότι τα άνω πρόσθια δόντια εξέχουν προς τα εμπρός πάρα πολύ από τα κάτω πρόσθια δόντια. Υπάρχει υψηλός κίνδυνος κατάγματος σε κάποιο χτύπημα ή πέσιμο, πολύ συχνά σε μικρές ηλικίες.

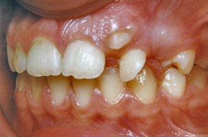
Έγκλειστα δόντια:
Δόντια που λόγω έλλειψης χώρου ή κακής θέσης μέσα στο κόκκαλο δεν μπορούν να ανατείλουν μόνα τους.

Υπεράριθμα δόντια:
Από λάθος δημιουργούνται περισσότερα δόντια από το φυσιολογικό και στα πλαίσια της θεραπείας πρέπει να αφαιρεθούν.
Ο δεύτερος τύπος – σκελετικά προβλήματα


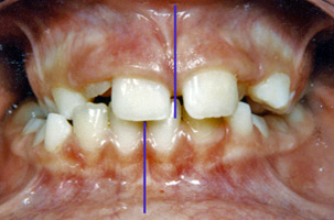
Σταυροειδής σύγκλειση:
Η άνω γνάθος είναι στενότερη από την κάτω, το παιδί δεν μπορεί να δαγκώσει συμμετρικά και η κάτω γνάθος αποκλίνει προς μια πλευρά με εμφανή ασυμμετρία των δοντιών αλλά και του προσώπου κατά μέτωπο (εγκάρσιο επίπεδο).


Προγναθισμός άνω γνάθου σε συνδιασμό με οπισθογναθισμό της κάτω γνάθου:
Η άνω γνάθος είναι αισθητά πιο μπροστά από την κάτω. Τα πρόσθια δόντια έχουν μεγάλες αποστάσεις μεταξύ τους. Το πρόσωπο και ο τρόπος που κλείνουν τα χείλη επηρεάζονται σοβαρά κατά μέτωπο και πλαγίως (οριζόντιο επίπεδο).


Προγναθισμός κάτω γνάθου:
Η κάτω γνάθος είναι σε θέση αισθητά πιο μπροστά από την άνω ή είναι υπερανεπτυγμένη. Τα πρόσθια δόντια έχουν αντίστροφη του φυσιολογικού σχέση μεταξύ τους. Το πρόσωπο και ο τρόπος που κλείνουν τα χείλη επηρεάζονται σοβαρά (οριζόντιο επίπεδο).


Προβλήματα στη σύγκλειση:
Τα επάνω και κάτω δόντια δεν έχουν σωστές επαφές μεταξύ τους συνολικά και επηρεάζονται έντονα οι κατακόρυφες αναλογίες του προσώπου (κατακόρυφο επίπεδο).
Ο τρίτος τύπος – οδοντικά και σκελετικά προβλήματα


Προγναθισμός άνω γνάθου:
Προγναθισμός άνω γνάθου με στένωση του οδοντικού τόξου και κενά μετξύ των δοντιών.


Οπισθογναθισμός της κάτω γνάθου:
Οπισθογναθισμός της κάτω γνάθου με υπερκάλυψη των κάτω πρόσθιων δοντιών.


Ψευδοπρογναθισμός της κάτω γνάθου:
Φαινομενικός προγναθισμός κάτω γνάθου λόγω κακιάς θέσης των δοντιών της άνω γνάθου.
