Θεραπείες ανά ηλικία


Οι ορθοδοντικές θεραπείες διακρίνονται στα παρακάτω 4 είδη με κριτήριο το ειδικότερο πρόβλημα και την ηλικία του ασθενούς:
1. Προληπτική ορθοδοντική
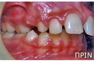
Η προληπτική ορθοδοντική αφορά παιδία 7 έως 9 ετών και έχει ως σκοπό να αναχαιτίσει προβλήματα που αν δε διορθωθούν εγκαίρως θα απαιτήσουν αργότερα πολύ πιο βαριές θεραπείες.
Παράταση θηλασμού του δακτύλου

Πρόωρη απώλεια παιδικών δοντιών

Συνωστισμοί δοντιών

Υπεράριθμα δόντια που ανατέλλουν σε λάθος θέση

Προβολή των επάνω δοντιών με υψηλό κίνδυνο κατάγματος

Στένωση της άνω γνάθου με ασύμμετρη θέση της κάτω γνάθου




2. Ορθοδοντική δύο φάσεων
Η ορθοδοντική θεραπεία δύο φασεων ενδύκνειται για μικρά παιδιά με προβλήματα τρίτου τύπου που αφορούν τόσο το σκελετό του στόματος όσο και τα δόντια κατα την διάρκεια του σταδίου ανάπτυξής τους. Αυτά τα παιδιά (7-8 ετων) είναι υποψήφια για θεραπεία σε μικρή ηλικία η οποία λέγεται επίσης προληπτική ορθοδοντική θεραπεία και αποτελεί την πρώτη φάση της θεραπείας.
Πρώτη Φάση (σε μικρή ηλικία)





Η πρώτη φάση θεραπείας επιτρέπει στον ορθοδοντικό να διορθώσει τα προβλήματα που αφορούν στο σχήμα των γνάθων και στη σχέση μεταξύ άνω και κάτω γνάθου. Γίνεται κυρίως με χρήση κινητών ορθοδοντικών μηχανισμών ώστε να σχηματιστούν σωστά οι γνάθοι. Η “προετοιμασία” αυτή των γνάθων αποτελεί τα θεμέλια της θεραπείας μας και δημιουργεί την απαραίτητη προϋπόθεση για ομαλή διευθέτηση των δοντιών που πρόκειται να ανατείλουν, καθώς και σχετικά απλή θεραπεία κατά τη β’ φάση.




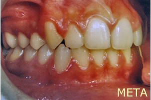
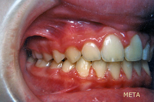
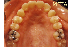
Δεύτερη Φάση
Η δεύτερη φάση της ορθοδοντικής θεραπείας γίνεται με ακίνητους ορθοδοντικούς μηχανισμούς για να πετύχει με απόλυτη ακρίβεια την διευθέτηση του κάθε μόνιμου δοντιού στην ορθή του θέση στο οδοντικό τόξο. Η πρώτη φάση, βελτιώνοντας το σχήμα και την σχέση των γνάθων μεταξύ τους, δημιουργεί ένα πιο σταθερό έδαφος για τη δεύτερη φάση της θεραπείας. Η διάρκεια και ο βαθμός δυσκολίας της δεύτερης φάσης συχνά μειώνονται δραστικά λόγω των αποτελεσμάτων της πρώτης φάσης θεραπείας.





3. Ορθοδοντική θεραπεία για εφήβους
Οι περισσότεροι ασθενείς ξεκινούν ορθοδοντική θεραπεία στην ηλικία των 9 ως τα 16. Καθώς οι έφηβοι έχουν έντονη σκελετική αύξηση, τα προεφηβικά και εφηβικά χρόνια είναι ο ιδανικός χρόνος για να διορθωθούν ορθοδοντικά και σκελετικά προβλήματα με εξαιρετικά αποτελέσματα Προβλήματα που αντιμετωπίζονται σε αυτή την ηλικία είναι:
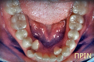
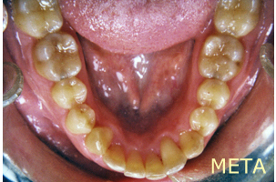
Συνωστισμοί


Αραιοδοντίες


Οπισθογναθισμοί




Ασυμμετρίες




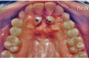
Έγκλειστα δόντια (μέσα στη γνάθο)


4. Θεραπείες ενηλίκων
Η δυνατότητα ορθοδοντικής θεραπείας δεν αφορά μόνο τα παιδια – ποτέ δεν είμαστε πολύ μεγάλοι για να βελτιώσουμε τη στοματική μας υγεία. Σήμερα όλο και περισσότεροι ενήλικες αποφασίζουν να κάνουν ορθοδοντική θεραπεία και πολλοί από τους ασθενείς μας (25-30%) είναι ενήλικες. Εφόσον τα ούλα και τα υποκείμενα οστά είναι υγιή, τα δόντια μπορούν να μετακινηθούν στη σωστή τους θέση σε οποιαδήποτε ηλικία.
Η ορθοδοντική θεραπεία σε εναν ενήλικα:
- Βελτιώνει την υγεία των δοντιών καθώς η στοματική υγιεινή γίνεται ευκολότερη
- Προστατεύει το στηρικτικό σύστημα του δοντιού (κόκκαλο και ούλα) καθώς φέρνει τα δόντια – σε πιο ισορροπημένες σχέσεις μεταξύ τους
- Προστατεύει την κροταφογναθική άρθρωση απο πόνο και φθορά καθώς το στοματογναθικό σύστημα λειτουργεί ορθότερα
- Συμβάλλει στη βελτίωση της εμφάνισης και στην ενίσχυση της αυτοπεποίθησης του ατόμου.
Οι περισσότεροι ενήλικες διστάζουν να προχωρήσουν σε ορθοδοντική θεραπεία, καθώς η διάρκεια αυτής και η τοποθέτηση ακίνητων μηχανισμών αποτελούν ανασταλτικό παράγοντα γι’ αυτή τους την απόφαση. Εντούτοις για τις ειδικότερες ανάγκες των ενηλίκων έχουν γίνει πολλές ενδιαφέρουσες καινοτομίες, όπως τα κεραμικά (λευκά) άγκιστρα τα οποία είναι σχεδόν αόρατα. Σε κάθε περίπτωση ενα ωραίο ορθοδοντικό αποτέλεσμα δίνει συχνά ικανοποίηση και χαρά στον ενήλικα ασθενή, ακόμη μεγαλύτερη από ότι στους νεότερους. Τα κυριότερα προβλήματα που οδηγούν τους ενήλικες σε ορθοδοντική θεραπεία είναι τα ακόλουθα:
Συνωστισμοί




Περιοδοντίτιδες




Προετοιμασία για προσθετική (γέφυγρες ή εμφυτεύματα)




Έγκλειστα δόντια




