Types of orthodontic treatment


Orthodontic treatments are divided in the following 4 types depending on the specific problem and age of the patient:
1. Preventive orthodontics
Preventive orthodontics is applied to children of 7 to 9 years and aims to prevent problems which if not corrected in time will require severe treatments. Such problems are:









2. Two phase Orthodontics
The two-phase orthodontic treatment is ideal for young children with problems that involve both the structure of the mouth and the teeth during the development stage. These children (7-8 years) are candidates for treatment at an early age. This type of treatment is also called preventive orthodontics and is the first phase of treatment.
First phase (at an early age)





The first phase treatment corrects problems related to the shape of the jaws and the relative position of the upper and the lower jaw. Removable orthodontic devices are mainly used. The “preparation” of the jaw is the foundation of the treatment and creates the necessary condition for smooth settlement of the teeth that are to erupt.




Second Phase
The second phase of the orthodontic treatment involves fixed appliances to achieve the permanent and exact settlement of each tooth in its correct position in the dental arch. The first phase, by improving the shape and the relationship between the jaws, creates a more stable foundation for the second phase of treatment. The duration and degree of difficulty of the second phase is often drastically reduced when the first phase yields positive results.





3. Adolescent Orthodontic treatment
Most patients begin orthodontic treatment between the ages of 9 and 16. Since skeletal growth is intense in adolescents, the pre- and teenage years is the ideal time to correct orthodontic and skeletal problems with great results. The most commonly encountered problems are:
















4. Adult Treatments
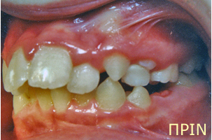
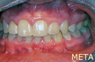
Adults can also benefit from an orthodontic treatment – we are never too old to improve our oral health. Nowadays more and more adults decide to start an orthodontic treatment and many of our patients (25-30%) are adults. If the gums and underlying bone are healthy, teeth can be moved into their proper position at any age.
Orthodontic treatment in an adult:
- Improves dental health and facilitates oral hygiene
- Protects the supportive system of the tooth (bone) and brings your teeth to more balanced relative positions
- Prevents pain and fatigue of the articulation joint, contributing to a more effective function of the mouth.
- Helps improve the appearance and enhance the confidence of the individual.
Many adults are reluctant to undergo an orthodontic treatment because of its long duration and of the need for placement of immobile orthodontic devices. However, there have been many interesting innovations, serving the specific needs of adults, such as ceramic (white) braces which are almost unnoticeable. In any case a nice final result often provides the adult with pleasure and satisfaction, even greater than in younger people.
















