Γιατί είναι απαραίτητη η ορθοδοντική;
Με την ορθοδοντική θεραπεία επιτυγχάνονται τα εξής:
- Σωστή μάσηση και λειτουργία του στόματος.
- Διευκόλυνση του καθαρισμού των δοντιών και των ούλων με συνέπεια λιγότερα μελλοντικά οδοντιατρικά προβλήματα.
- Περιορισμός πιθανότητας καταγμάτων δοντιών, όταν αυτά εξέχουν από τα χείλη.
- Ωραιότερο χαμόγελο και πιο ευχάριστο πρόσωπο με αποτέλεσμα αύξηση της αυτοπεποίθησης του ατόμου.


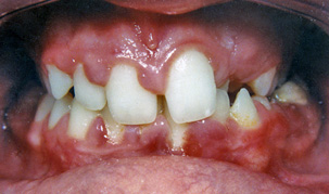
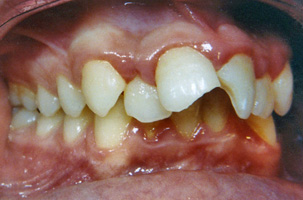
Τα συνωστισμένα δόντια
Τα συνωστισμένα δόντια κατακρατούν περισσότερη οδοντική πλάκα.
Η δυσκολία καθαρισμού οδηγεί ευκολότερα σε τερηδονισμό, ουλίτιδα και ενδεχομένως περιοδοντίτιδα.


Τα προεξέχοντα δόντια
Τα ίσια δόντια σε αντίθεση με τα προεξέχοντα, είναι λιγότερο ευπαθή στο τραύμα. Στις μικρές ηλικίες η πιθανότητα καταγμάτων των δοντιών όταν αυτά προβάλλουν έξω από τα χείλη είναι πολύ υψηλή. Η ορθοδοντική θεραπεία καθώς διευθέτει τα δόντια στις σωστές τους θέσεις ελαχιστοποιεί αυτόν τον κίνδυνο.


Σκελετικά προβλήματα
Σε ορθοδοντικά προβλήματα τα δόντια δεν έχουν ομαλές επαφές μεταξύ τους και κινδυνεύουν από φθορά των επιφανειών τους. Όταν υπάρχουν και σκελετικά προβλήματα με κακή λειτουργία των αρθρώσεων της κάτω γνάθου, είναι πιθανοί χρόνιοι πονοκέφαλοι ή πόνοι στο πρόσωπο και το λαιμό. Η ορθοδοντική θεραπεία εγκαθιστά έγκαιρα υγεία και καλή λειτουργία στο στοματογναθικό σύστημα. Τα σκελετικά – ορθοδοντικά προβλήματα επηρεάζουν αισθητά τις αναλογίες του προσώπου κατά μέτωπο και πλαγίως. Η έγκαιρη ορθοδοντική θεραπεία μπορεί να επηρεάσει θετικά την αύξηση των οστών των γνάθων, να εξομαλύνει αυτές τις δυσαναλογίες και να διασφαλίσει την συνολική αρμονία του πρόσωπου.


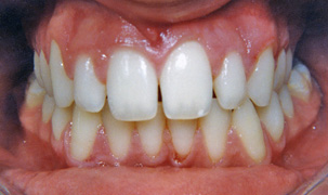
Ελκυστικό χαμόγελο
Ένα ελκυστικό χαμόγελο είναι σοβαρό προσόν. Η ορθοδοντική θεραπεία καθώς φέρνει τα δόντια τα χείλη και τις γνάθους στις σωστές τους σχέσεις και αναλογίες, χαρίζει ένα αρμονικό πρόσωπο κι ένα όμορφο χαμόγελο. Με αυτό τον τρόπο αυξάνονται η αυτοπεποίθησή και η αυτοεκτίμησή των ασθενών μας, στοιχεία σημαντικά για κάθε ηλικία.


