Skip to content

Θεραπείες εφήβων (10-17 ετών)

Ορθοδοντικές Θεραπείες Πρίν & Μετά - Ορθοδοντικός Δρ. Ζαρμπή
Ορθοδοντικές Θεραπείες Πρίν & Μετά - Ορθοδοντικός Δρ. Ζαρμπή

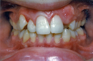
Συνωστισμοί, ασυμετρία, έγκλειστος κυνόδοντας στην άνω γνάθο

Συνωστισμοί, ασυμετρία, έγκλειστος κυνόδοντας στην άνω γνάθοΣυνωστισμοί, ασυμετρία, έγκλειστος κυνόδοντας στην άνω γνάθο

Αρχικό Στάδιο

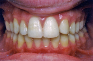
Συνωστισμοί, ασυμετρία, έγκλειστος κυνόδοντας στην άνω γνάθο

Τελικό Στάδιο

Συνωστισμοί, ασυμετρία, έγκλειστος κυνόδοντας στην άνω γνάθο

Επανέλεγχος 7 χρόνια μετά

Συνωστισμοί, ασυμετρία, έγκλειστος κυνόδοντας στην άνω γνάθο
Back To Top