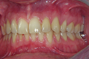
Θεραπείες εφήβων (10-17 ετών) Συνωστισμός, υπερκάλυψη κάτω δοντιών και έγκλειστος κυνόδοντας στον ουρανίσκο. Αρχικό Στάδιο Τελικό Στάδιο Επανέλεγχος 4 χρόνια μετά