Skip to content

Θεραπείες ενηλίκων ( >18 ετών)

Ορθοδοντικές Θεραπείες Πρίν & Μετά - Ορθοδοντικός Δρ. Ζαρμπή
Ορθοδοντικές Θεραπείες Πρίν & Μετά - Ορθοδοντικός Δρ. Ζαρμπή

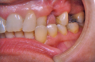
Ορθοδοντικά προβλήματα και απώλεις δοντιων. Ορθοδοντική – προσθετική θεραπεία

Ορθοδοντικά προβλήματα και απώλεις δοντιων. Ορθοδοντική - προσθετική θεραπείαΟρθοδοντικά προβλήματα και απώλεις δοντιων. Ορθοδοντική - προσθετική θεραπεία

Αρχικό Στάδιο

Ορθοδοντικά προβλήματα και απώλεις δοντιων. Ορθοδοντική - προσθετική θεραπεία

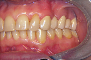
Τελικό Στάδιο

Ορθοδοντικά προβλήματα και απώλεις δοντιων. Ορθοδοντική - προσθετική θεραπεία

Επανέλεγχος 5 χρόνια μετά

Ορθοδοντικά προβλήματα και απώλεις δοντιων. Ορθοδοντική - προσθετική θεραπεία
Back To Top