Skip to content

Θεραπείες ενηλίκων ( >18 ετών)

Ορθοδοντικές Θεραπείες Πρίν & Μετά - Ορθοδοντικός Δρ. Ζαρμπή
Ορθοδοντικές Θεραπείες Πρίν & Μετά - Ορθοδοντικός Δρ. Ζαρμπή

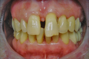
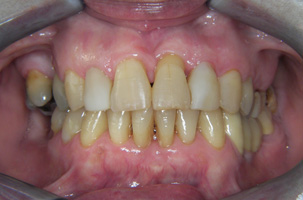
Περιοδοντική νόσος με μετακινήσεις δοντιών. Περιοδοντική-Ορθοδοντική-Προσθετική θεραπεία

Περιοδοντική νόσος με μετακινήσεις δοντιών. Περιοδοντική-Ορθοδοντική-Προσθετική θεραπείαΠεριοδοντική νόσος με μετακινήσεις δοντιών. Περιοδοντική-Ορθοδοντική-Προσθετική θεραπεία

Πριν τη Θεραπεία

Περιοδοντική νόσος με μετακινήσεις δοντιών. Περιοδοντική-Ορθοδοντική-Προσθετική θεραπεία

Μετά τη Θεραπεία

Περιοδοντική νόσος με μετακινήσεις δοντιών. Περιοδοντική-Ορθοδοντική-Προσθετική θεραπεία
Back To Top