Skip to content

Θεραπείες εφήβων (10-17 ετών)

Ορθοδοντικές Θεραπείες Πρίν & Μετά - Ορθοδοντικός Δρ. Ζαρμπή
Ορθοδοντικές Θεραπείες Πρίν & Μετά - Ορθοδοντικός Δρ. Ζαρμπή

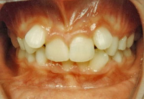
Συνωστισμός και υπερκάλυψη των κάτω δοντιών – Θεραπεία εξαγωγών

Συνωστισμός και υπερκάλυψη των κάτω δοντιών - Θεραπεία εξαγωγών
Συνωστισμός και υπερκάλυψη των κάτω δοντιών - Θεραπεία εξαγωγών

Αρχικό Στάδιο

Συνωστισμός και υπερκάλυψη των κάτω δοντιών - Θεραπεία εξαγωγών

Τελικό Στάδιο

Συνωστισμός και υπερκάλυψη των κάτω δοντιών - Θεραπεία εξαγωγών

Επανέλεγχος 11 χρόνια μετά

Συνωστισμός και υπερκάλυψη των κάτω δοντιών - Θεραπεία εξαγωγών
Back To Top