Skip to content

Θεραπείες εφήβων (10-17 ετών)

Ορθοδοντικές Θεραπείες Πρίν & Μετά - Ορθοδοντικός Δρ. Ζαρμπή
Ορθοδοντικές Θεραπείες Πρίν & Μετά - Ορθοδοντικός Δρ. Ζαρμπή

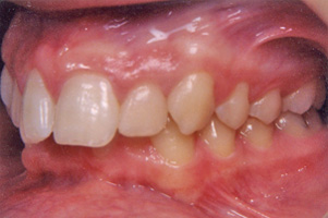
Συνωστισμός στην άνω και κάτω γνάθο και στένωση στην επάνω γνάθο. Θεραπεία εξαγωγών

Συνωστισμός στην άνω και κάτω γνάθο και στένωση στην επάνω γνάθο. Θεραπεία εξαγωγών
Συνωστισμός στην άνω και κάτω γνάθο και στένωση στην επάνω γνάθο. Θεραπεία εξαγωγών

Αρχικό Στάδιο

Συνωστισμός στην άνω και κάτω γνάθο και στένωση στην επάνω γνάθο. Θεραπεία εξαγωγών

Τελικό Στάδιο

Συνωστισμός στην άνω και κάτω γνάθο και στένωση στην επάνω γνάθο. Θεραπεία εξαγωγών

Επανέλεγχος 6 χρόνια μετά

Συνωστισμός στην άνω και κάτω γνάθο και στένωση στην επάνω γνάθο. Θεραπεία εξαγωγών
Back To Top