Skip to content

Θεραπείες εφήβων (10-17 ετών)

Ορθοδοντικές Θεραπείες Πρίν & Μετά - Ορθοδοντικός Δρ. Ζαρμπή
Ορθοδοντικές Θεραπείες Πρίν & Μετά - Ορθοδοντικός Δρ. Ζαρμπή

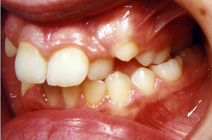
Έντονος συνωστισμός στην άνω και κάτω γνάθο. Θεραπεία χωρίς εξαγωγές

Έντονος συνωστισμός στην άνω και κάτω γνάθο. Θεραπεία χωρίς εξαγωγές
Έντονος συνωστισμός στην άνω και κάτω γνάθο. Θεραπεία χωρίς εξαγωγές

Αρχικό Στάδιο

Έντονος συνωστισμός στην άνω και κάτω γνάθο. Θεραπεία χωρίς εξαγωγές

Τελικό Στάδιο

Έντονος συνωστισμός στην άνω και κάτω γνάθο. Θεραπεία χωρίς εξαγωγές

Επανέλεγχος 7 χρόνια μετά

Έντονος συνωστισμός στην άνω και κάτω γνάθο. Θεραπεία χωρίς εξαγωγές
Back To Top