Skip to content

Θεραπείες 2 φάσεων (8-10 ετών)

Ορθοδοντικές Θεραπείες Πρίν & Μετά - Ορθοδοντικός Δρ. Ζαρμπή
Ορθοδοντικές Θεραπείες Πρίν & Μετά - Ορθοδοντικός Δρ. Ζαρμπή

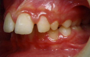
Στένωση άνω γνάθου, υπερκάλυψη κάτω δοντιών, οπισθογναθισμός της κάτω γνάθου

Στένωση άνω γνάθου, υπερκάλυψη κάτω δοντιών, οπισθογναθισμός της κάτω γνάθου
Στένωση άνω γνάθου, υπερκάλυψη κάτω δοντιών, οπισθογναθισμός της κάτω γνάθου

Αρχικό Στάδιο

Στένωση άνω γνάθου, υπερκάλυψη κάτω δοντιών, οπισθογναθισμός της κάτω γνάθου

Τελος της Α’ φάσης

Στένωση άνω γνάθου, υπερκάλυψη κάτω δοντιών, οπισθογναθισμός της κάτω γνάθου

Τελικό Στάδιο

Στένωση άνω γνάθου, υπερκάλυψη κάτω δοντιών, οπισθογναθισμός της κάτω γνάθου

Επανέλεγχος 5 χρόνια μετά

Στένωση άνω γνάθου, υπερκάλυψη κάτω δοντιών, οπισθογναθισμός της κάτω γνάθου
Back To Top