Θεραπείες 2 φάσεων (8-10 ετών)


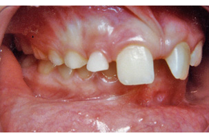
Στένωση, υπερκάλυψη κάτω δοντιών, έντονος οπισθογναθισμός, διάστημα προσθίων δοντιών
Α’ φάση (10-12 ετών): Διόρθωση του σκελετικού προβλήματος με κινητούς μηχανισμούς


Αρχικό Στάδιο

Τελος Α’ φάσης

Β’ φάση (12-14,5 ετών): Διόρθωση οδοντικών προβλημάτων με ακίνητους μηχανισμούς
Τελικό Στάδιο

Επανέλεγχος 11 χρόνια μετά

