Skip to content
Αρχική
Το ιατρείο μας
Ο χώρος μας
Ραντεβού
Ορθοδοντικά Προβλήματα
Τι είναι η ορθοδοντική
Φυσιολογικό Πρόσωπο και Στόμα
Διαγνωστικά Σημεία
Γιατί είναι απαραίτητη η ορθοδοντική;
Προβλήματα που θεραπεύει ο ορθοδοντικός
Συνεργασία με άλλες ειδικότητες
Τύποι Θεραπειών
Κατάλληλη ηλικία
Θεραπείες ανά ηλικία
Η Θεραπεία σας
Προσέγγιση Προβλημάτων
Αρχική Επίσκεψη
Μηχανισμοί που χρησιμοποιούμε
Προϋποθέσεις Καλής Συνεργασίας
Στοματική Υγιεινή
Οδηγίες Διατροφής
Επείγοντα
Συχνές Ερωτήσεις
Θεραπείες Πρίν & Μετά
Παιδική Γωνιά
Επικοινωνία
Θεραπείες μικρών παιδιών (7-8 ετών)
Έγκλειστοι κυνόδοντες
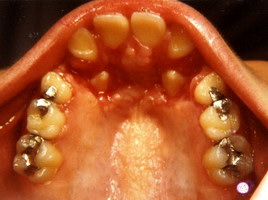
Προ Θεραπείας
Τελική Κατάσταση
previous post:
Έντονοι συνωστισμοί και οπισθογναθισμός κάτω γνάθου
next post:
Στένωση, υπερκάλυψη κάτω δοντιών, έντονος οπισθογναθισμός, διάστημα προσθίων δοντιών
Back To Top