Skip to content

Θεραπείες μικρών παιδιών (7-8 ετών)

Ορθοδοντικές Θεραπείες Πρίν & Μετά - Ορθοδοντικός Δρ. Ζαρμπή
Ορθοδοντικές Θεραπείες Πρίν & Μετά - Ορθοδοντικός Δρ. Ζαρμπή

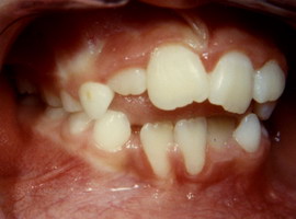
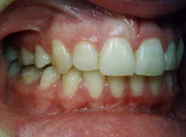
Έντονοι συνωστισμοί και οπισθογναθισμός κάτω γνάθου

Έντονοι συνωστισμοί και οπισθογναθισμός κάτω γνάθου - Ορθοδοντικός Δρ. ΖαρμπήΈντονοι συνωστισμοί και οπισθογναθισμός κάτω γνάθου - Ορθοδοντικός Δρ. Ζαρμπή

Προ Θεραπείας

Έντονοι συνωστισμοί και οπισθογναθισμός κάτω γνάθου - Ορθοδοντικός Δρ. Ζαρμπή

Τελική Κατάσταση

Έντονοι συνωστισμοί και οπισθογναθισμός κάτω γνάθου - Ορθοδοντικός Δρ. Ζαρμπή

Επανέλεγχος 2 χρόνια μετά

Έντονοι συνωστισμοί και οπισθογναθισμός κάτω γνάθου - Ορθοδοντικός Δρ. Ζαρμπή
Back To Top