Skip to content

Θεραπείες μικρών παιδιών (7-8 ετών)

Ορθοδοντικές Θεραπείες Πρίν & Μετά - Ορθοδοντικός Δρ. Ζαρμπή
Ορθοδοντικές Θεραπείες Πρίν & Μετά - Ορθοδοντικός Δρ. Ζαρμπή

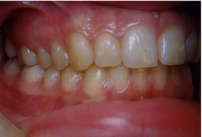
Στένωση, ασσυμετρία, συνωστισμός

Στένωση, ασσυμετρία, συνωστισμός - Ορθοδοντικός Δρ. ΖαρμπήΣτένωση, ασσυμετρία, συνωστισμός - Ορθοδοντικός Δρ. Ζαρμπή

Προ Θεραπείας

Στένωση, ασσυμετρία, συνωστισμός - Ορθοδοντικός Δρ. Ζαρμπή

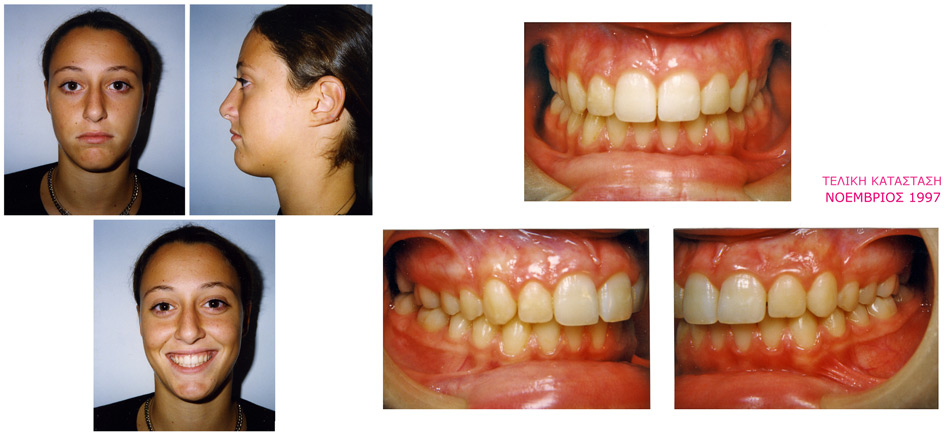
Τελική Κατάσταση

Στένωση, ασσυμετρία, συνωστισμός - Ορθοδοντικός Δρ. Ζαρμπή

Επανέλεγχος 2 χρόνια μετά

Στένωση, ασσυμετρία, συνωστισμός - Ορθοδοντικός Δρ. Ζαρμπή
Back To Top