Skip to content

Θεραπείες μικρών παιδιών (7-8 ετών)

Ορθοδοντικές Θεραπείες Πρίν & Μετά - Ορθοδοντικός Δρ. Ζαρμπή
Ορθοδοντικές Θεραπείες Πρίν & Μετά - Ορθοδοντικός Δρ. Ζαρμπή

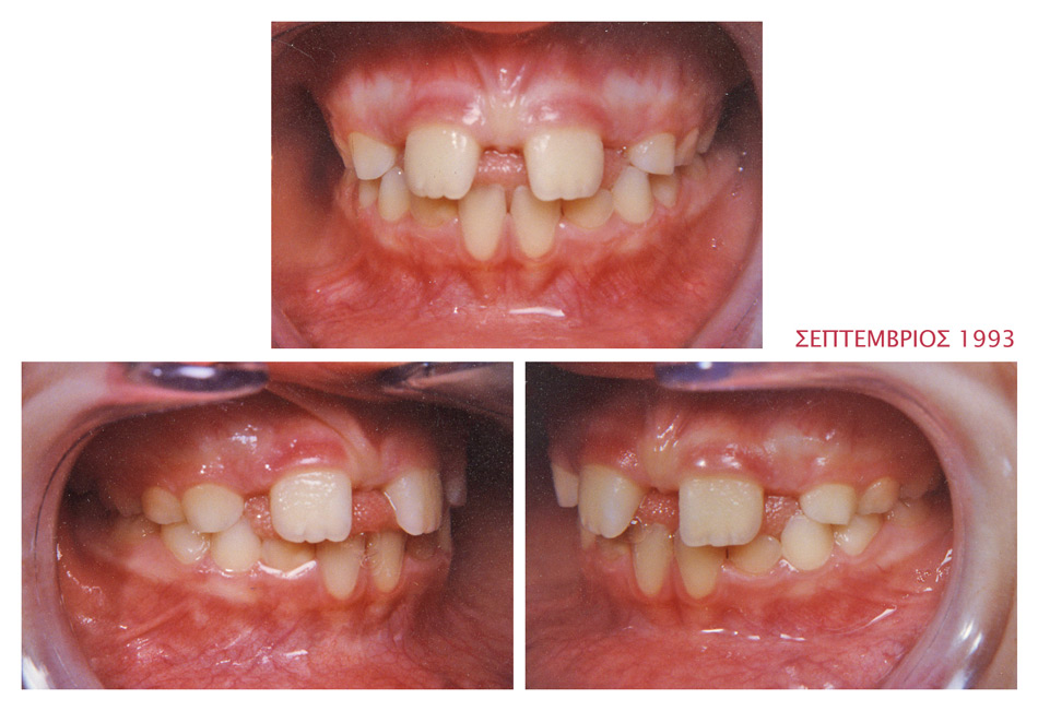
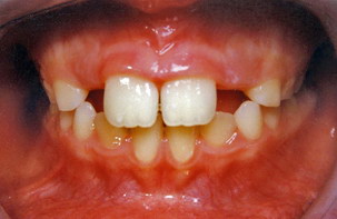
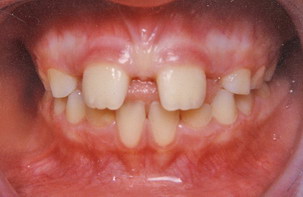
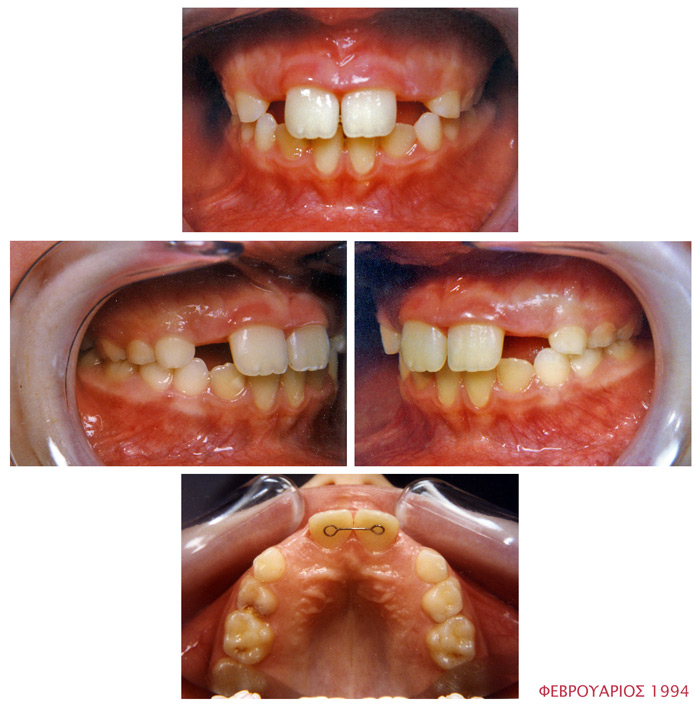
Διάστημα μεταξύ των επάνω δοντιών

Διάστημα μεταξύ των επάνω δοντιών - Ορθοδοντικός Δρ. ΖαρμπήΔιάστημα μεταξύ των επάνω δοντιών - Ορθοδοντικός Δρ. Ζαρμπή

Προ Θεραπείας

Διάστημα μεταξύ των επάνω δοντιών - Ορθοδοντικός Δρ. Ζαρμπή

Κλείσιμο Διαστήματος

Διάστημα μεταξύ των επάνω δοντιών - Ορθοδοντικός Δρ. Ζαρμπή

Μετά τη Θεραπεία

Διάστημα μεταξύ των επάνω δοντιών - Ορθοδοντικός Δρ. Ζαρμπή
Back To Top